Domovská stránka » Tuberkulóza? Stará hrozba, na ktorú netreba zabúdať

Tuberkulóza? Stará hrozba, na ktorú netreba zabúdať

od Redakcia
0 komentárov

Ochorenie, ktoré ešte pred storočím vyvolávalo obavy celej spoločnosti, dnes síce u nás patrí medzi menej časté diagnózy, no úplne nevymizlo. Svetový deň tuberkulózy si každoročne pripomíname 24. marca. Odborníci upozorňujú, že včasná diagnostika a správne nastavená liečba  tuberkulózy sú kľúčové na zabránenie ďalšieho šírenia.

Tuberkulóza je infekčné ochorenie najčastejšie postihujúce pľúca, no môže zasiahnuť aj iné orgány, ako sú lymfatické uzliny, kosti, obličky či mozog. Práve rôznorodosť prejavov často sťažuje jej včasné rozpoznanie. Podľa Svetovej zdravotníckej organizácie (WHO) ochorie ročne na tuberkulózu približne 10 miliónov ľudí na svete. „Medzi typické príznaky patrí dlhodobý kašeľ, zvýšená teplota, nočné potenie, únava, nechutenstvo a úbytok hmotnosti. V pokročilých štádiách sa môže objaviť aj vykašliavanie krvi,“ upozorňuje obľúbený lekár z ambulancie pneumológie a ftizeológie Nemocnice AGEL Zlaté Moravce, MUDr. Ladislav Solčiansky.

Ochorenie sa najčastejšie prenáša vzduchom pri kašli, kýchaní alebo rozprávaní infikovaného človeka ako typická kvapôčková infekcia. Po vdýchnutí sa baktérie usadia v pľúcach. „U niektorých ľudí však ostávajú v neaktívnej forme bez príznakov. K prepuknutiu ochorenia dochádza najmä pri oslabení imunity,“ hovorí uznávaný lekár zlatomoravského regiónu a ďalej dodáva, „riziko nákazy je vyššie najmä u osôb, ktoré prišli do úzkeho kontaktu s chorým, ako aj u pacientov chronickými ochoreniami, seniorov či sociálne znevýhodnených skupín. 

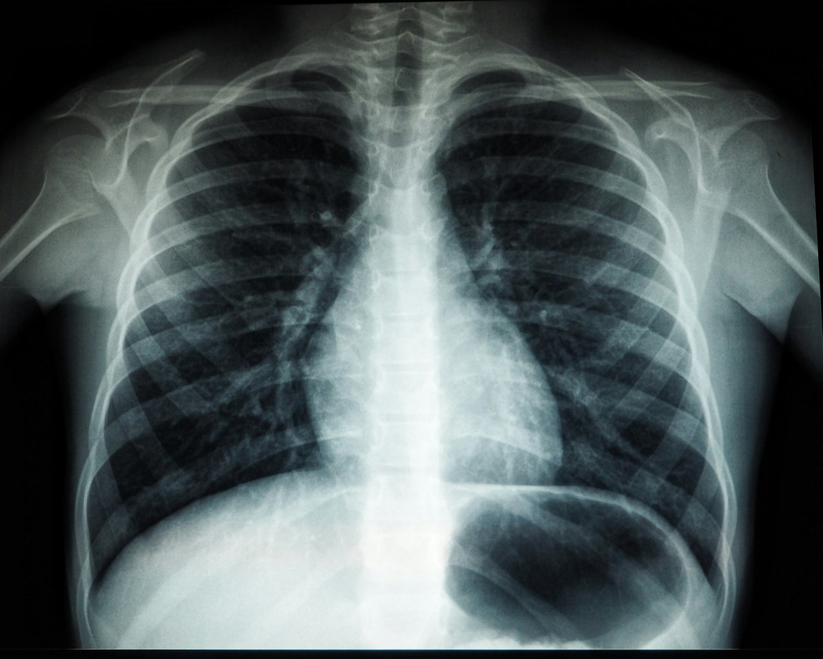
Ako ochorenie diagnostikovať?

Diagnostika tuberkulózy je založená najmä na röntgenovom vyšetrení pľúc a laboratórnych testoch. Liečba je dlhodobá a trvá spravidla 6 až 9 mesiacov. Pozostáva z kombinácie viacerých liekov, pričom jej úspešnosť závisí najmä od dôsledného dodržiavania liečebného režimu pacientom. „Je nevyhnutné, aby pacienti užívali lieky počas celej stanovenej doby. Predčasné ukončenie liečby môže viesť k návratu ochorenia a jeho ďalšiemu šíreniu,“ zdôrazňuje.

Na Slovensku bolo plošné očkovanie proti tuberkulóze ukončené približne pred 15 rokmi, najmä vzhľadom na nízky výskyt ochorenia. V mnohých krajinách sveta však očkovanie naďalej zostáva súčasťou preventívnych opatrení. MUDr. Solčiansky na záver apeluje na verejnosť, aby príznaky nepodceňovali. Včasná návšteva lekára je podľa neho rozhodujúca nielen pre úspešnú liečbu pacienta, ale predovšetkým pre ochranu verejného zdravia. 

Ilustračné foto, zdroj: Unsplash

Mohlo by sa vám páčiť

Zanechajte komentár